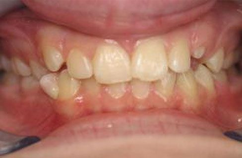
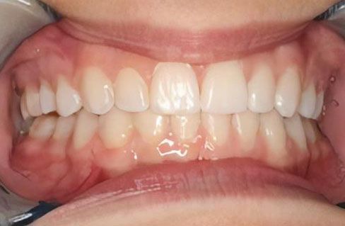
Invisalign in Milwaukee, WI
Clear Aligners. Expert Hands. Predictable Results.
- Board-certified dentists guiding every step of treatment
- Choose from ClearCorrect® or Invisalign®
- 3D digital imaging for a comfortable, precise fit
- 12–18 months of treatment with consistent doctor oversight

“I couldn't be happier.” Real 5-Star Reviews
Highly recommend! My case was complicated and I struggled to find a dentist willing to help. Dr. Cathy listened and worked with me to develop a solid plan for transforming my smile. The level of care here was awesome, Dr. Cathy and Lindsay care about clients and work hard to make treatments as comfortable as possible.
View On GoogleI can’t say enough about my positive experience with Dr Don and team at Czaplicki Family Denistry. Dr Don is an extremely capable professional who put me right at ease. His attention to detail and skill really shine through in my results and I couldn’t be happier. The energy in the office is relaxed and calming and their follow up is exempliary. So glad I found my way here!
View On GoogleMeet Your Clear Aligner Providers
Our dentists serve patients from Greenfield, Franklin, New Berlin, West Allis, and communities throughout the Greater Milwaukee area. Here is who will be guiding your treatment:

Dr. Don Czaplicki
A Milwaukee native practicing since 1989, Dr. Don earned his Doctor of Dental Surgery from Creighton University and is a member of the American Academy of Cosmetic Dentistry and many other dental organizations. He brings decades of experience in orthodontics and bite alignment to every clear aligner case, and uses 3D digital imaging to design treatment plans that move teeth efficiently and predictably. Dr. Don is known for his attention to detail and his calm, thorough approach.

Dr. Cathleen Czaplicki
Practicing alongside her husband since 1989, Dr. Cathleen holds the same Creighton University DDS degree and has been an AACD member since 1993. She is known for her gentle chairside manner and her ability to put patients at ease, especially those who are new to orthodontic treatment. Whether you are considering ClearCorrect or Invisalign, Dr. Cathleen will explain every step and help you feel confident in your treatment plan.

Clear Aligner Cost and Financing
Clear aligner treatment at our Milwaukee, WI, practice typically falls within the national average of $3,000–$8,000, depending on the complexity of your case and the system recommended. When you meet with our dentists for a consultation, we will provide an upfront estimate based on your specific needs.
Your treatment cost includes:
- Initial consultation and 3D digital scan
- Your full set of custom aligners
- All checkup appointments throughout treatment
- A retainer after treatment is complete
Our practice operates on a fee-for-service basis, which means transparent pricing with no surprises. We also accept flexible financing through CareCredit® so you can spread payments over time. If you have dental insurance, your plan may cover a portion of orthodontic treatment; we recommend checking with your provider before your visit.
Patients from New Berlin, West Allis, and the Greater Milwaukee area are welcome to call or request a consultation to get a personalized cost estimate.
Curious About Clear Aligner Treatment? Let’s Talk
If you’ve been thinking about straightening your teeth but aren’t sure which option is right, our board-certified dentists are here to guide you. Every aligner case is designed and overseen by the same trusted providers, not outsourced to an app or remote service. That means you’ll always know exactly who is planning and monitoring your progress.
Whether you’re a good candidate for ClearCorrect, Invisalign, or even traditional braces, we’ll explain the advantages of each and recommend a treatment that fits your timeline, budget, and goals. Our advanced 3D imaging technology allows us to show you a preview of your potential results before treatment even begins, giving you the confidence to take the next step.
Don’t put off the smile you’ve been wanting. Our office in Hales Corners proudly serves patients throughout the Greater Milwaukee area, and we’re always welcoming new patients. Schedule a consultation today and discover how comfortable, discreet, and predictable clear aligner treatment can be.

Am I a Candidate for Clear Aligners?
Permanent Teeth Are Required
Teens and adults with fully developed permanent teeth may qualify for Invisalign or ClearCorrect as a discreet alternative to braces.
Commitment Is Key
Aligners only work if worn consistently. Patients who can keep track of their trays and wear them as directed will see the best results.
Healthy Smiles First
Any issues like cavities or gum disease should be treated before beginning orthodontic care. A healthy foundation ensures that your aligners can do their job effectively.
How Do Clear Aligners Work? A Treatment Timeline
Invisalign and ClearCorrect are both orthodontic systems that use a series of plastic aligner trays to gradually bring the teeth into alignment. When patients from Milwaukee, WI, choose either of these treatment options at our dental practice, they can expect a treatment timeline similar to this:
Most Invisalign treatment plans produce results in around 12–18 months.
More High Praise for Our Milwaukee Team
Thank you AGAIN Dr. Don for giving your immediate attention to my concern. Dr. Don is a "Top Doctor" who listens carefully and makes sure he understands your needs first.
View On GoogleFAQ About Invisalign in Milwaukee, WI
Can I eat and drink with clear aligners in?
You should remove your aligners before eating or drinking anything other than water. Hot beverages can warp the plastic trays, colorful beverages can stain the aligners, and food particles trapped between the aligners and your teeth can increase the risk of cavities. After eating, brush your teeth before placing the aligners back in.
How long does Invisalign or ClearCorrect treatment take?
Most patients complete treatment in 12–18 months, though simpler cases with ClearCorrect can sometimes finish in under 12 months. Your timeline depends on the complexity of your case, how consistently you wear your aligners, and how your teeth respond to movement. Dr. Don or Dr. Cathleen will give you a projected timeline during your consultation.
What is the difference between Invisalign and ClearCorrect?
Both systems use custom-made, removable plastic trays to gradually straighten teeth. ClearCorrect tends to work well for mild to moderate cases and is often more affordable, while Invisalign is typically recommended for moderate to complex cases. Our dentists will evaluate your bite and recommend the option that best fits your goals and budget.
Will I need a retainer after clear aligner treatment?
Yes. Teeth naturally tend to shift back toward their original position after orthodontic treatment. Our dentists recommend wearing a retainer to protect your results. Many patients use their final set of aligners as a retainer, or we can create a custom retainer for you.









:quality(64)/https://d1l9wtg77iuzz5.cloudfront.net/assets/2688/319219/original.jpg?1602176766)
:quality(64)/https://d1l9wtg77iuzz5.cloudfront.net/assets/2688/319217/original.jpg?1602176763)


