Dentist in Milwaukee, WI
Board-Certified Care for Every Smile
- A family-friendly practice serving Milwaukee since 1989
- Custom ClearCorrect® and Invisalign® treatment
- Veneers and other cosmetic treatments to perfect your smile
- Advanced imaging and same-day tech for exceptional results


Why Milwaukee Chooses Our Practice
Board-Certified Dentists You Can Trust
Our team of board-certified dentists brings advanced training and decades of experience to every case. From routine checkups to complex cosmetic treatment, you can feel confident your smile is in expert hands.
Incredible Results with Veneers & ClearCorrect
Our veneers in Milwaukee, WI, and ClearCorrect treatments create stunning, lasting results. Using advanced planning and precise techniques, we deliver cosmetic results that look natural, feel comfortable, and inspire new confidence. Meanwhile, you can expect results from Invisalign in Milwaukee, WI, to make your smile easier to maintain, helping you avoid cavities and other issues.
Personalized, Family-Friendly Care
From kids to grandparents, we welcome patients of all ages. Our compassionate team takes the time to explain options, ease anxiety, and design treatment that fits your goals, so every visit feels supportive and stress-free.
Meet Our Board-Certified Dentists
Serving Milwaukee
At Czaplicki Family Dentistry, every patient is cared for by a board-certified dentist. With advanced training in cosmetic, restorative, and implant dentistry, our team combines decades of experience with a patient-first approach. Whether you’re exploring veneers, clear aligners, or comprehensive family care, you’ll be supported by doctors who take pride in precision and compassion.

Donald Czaplicki, DDS
Dr. Donald Czaplicki has provided care to Milwaukee families since 1989. A member of the American Academy of Cosmetic Dentistry, he is known for his expertise in complex, multidisciplinary cases and his commitment to patient comfort.
- Practicing dentistry in Milwaukee for more than 30 years
- Member of the American Academy of Cosmetic Dentistry (AACD)
- Specializes in complex restorative and cosmetic cases
- Dedicated to patient-centered, compassionate care

Cathleen Czaplicki, DDS
Practicing alongside her husband, Dr. Cathleen Czaplicki shares the same warm, patient-centered approach that defines the practice. She enjoys building lasting relationships with patients and helping families feel confident in their dental care.
- Co-owner of Czaplicki Family Dentistry
- Experienced in family and preventive dental care
- Known for her friendly, supportive chairside manner
- Passionate about guiding patients toward long-term oral health
Cassandra Van Kleunen, DDS
Dr. Van Kleunen earned her dental degree from Marquette University after completing her studies in Biology and Global Health at UW–Madison. She is board certified and passionate about patient education, comfort, and creating personalized treatment plans built on trust.

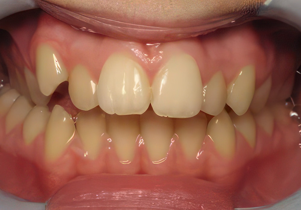
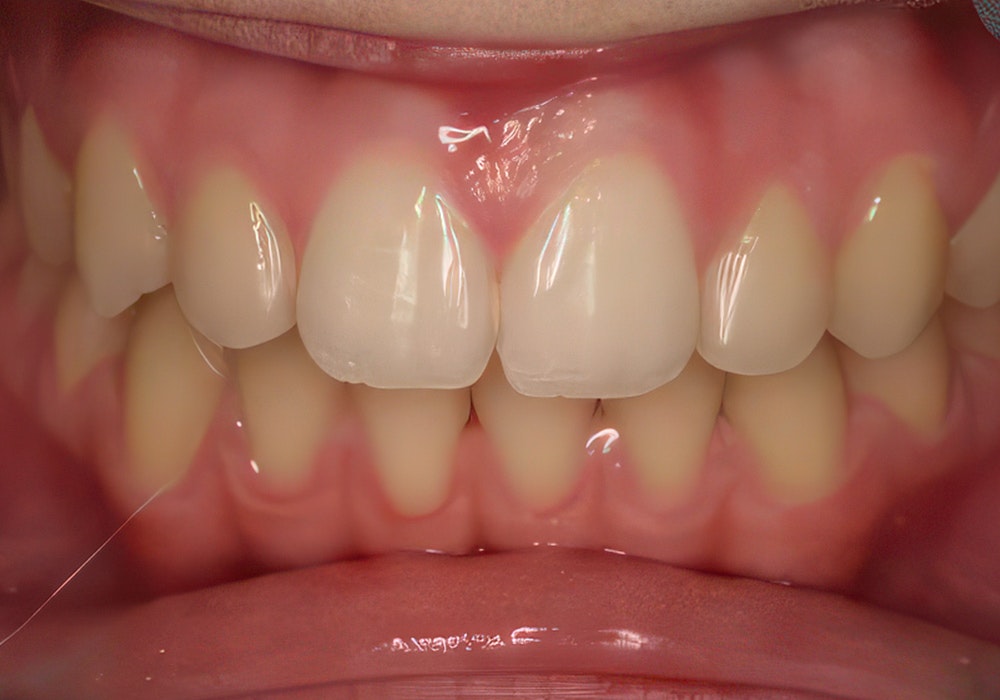
Get a Beautifully Straight Smile From Czaplicki Family Dentistry

Before

After
With clear aligners, our patients achieve straighter teeth and renewed confidence through a simplified approach to orthodontics.
Affordable Dentistry for the Whole Family With Flexible Financing Options
Our practice strives to make dentistry affordable to everyone who visits us. The last thing we want is for Milwaukee patients to put off needed care because of cost. Doing so can only lead to greater problems down the line. We're proud to accept financing through CareCredit®, a third-party lender offering low-interest and interest-free credit lines. This gives patients greater flexibility and peace of mind, allowing them and their families to get the care they need when they need it. To request a consultation at our Hales Corners office, fill out our form or give us a call.
“Highly recommend!”
"Highly recommend! My case was complicated and I struggled to find a dentist willing to help. Dr. Cathy listened and worked with me to develop a solid plan for transforming my smile. The level of care here was awesome, Dr. Cathy and Lindsay care about clients and work hard to make treatments as comfortable as possible." — Blake, 5-Star Review
Featured Services Offered at Our Milwaukee Dental Practice
Cosmetic Dentistry
Cosmetic dentistry in Milwaukee, WI, corrects chips, cracks, stains, and gaps to give you a confident smile. Popular options include ClearCorrect and Invisalign clear aligners, veneers, and teeth whitening. For a bigger change, our dentists can design a custom smile makeover that combines multiple treatments within your goals and budget.
Dental Implants
While tooth replacement options such as bridges and dentures can address aesthetic issues, they cannot prevent jawbone recession from occurring after tooth loss. Dental implants are replacement tooth roots that prevent bone loss and provide unparalleled stability for dental restorations such as crowns, bridges, or dentures. We can refer you to a trusted provider of dental implants in Milwaukee, WI, or All-on-4 dental implants in Milwaukee, WI, and then place your custom restoration in our office.
Veneers
Minor cosmetic flaws such as chipped, worn, or slightly crooked teeth can cause your smile to look unhealthy even if you regularly visit the dentist and have outstanding oral health. Our Milwaukee, WI, dentists can conceal these flaws with veneers. Veneers can boost your confidence, take years off of your appearance, and give you a brilliant smile you can be proud to share with the world.
Dental Crowns
A crown can cover a damaged tooth, strengthening the remaining structure and restoring your comfort and confidence. Our dentists use CEREC® technology to create high-quality crowns out of modern materials designed to withstand normal biting forces. In just one appointment, we can craft a custom dental crown that blends in seamlessly with your surrounding teeth.
Restorative Dentistry
Missing or damaged teeth require prompt treatment to protect your oral health from further issues. We offer a wide range of restorative dentistry procedures, such as dental implants, dentures, and dental fillings, to refine your teeth and improve your functionality. We can help determine which procedure is best for you and your individual case. For patients needing extensive dental work, our dentists can create a custom plan of several restorative procedures.
“By far my favorite.”
"Czaplicki Family Dentistry is by far my favorite dentistry and I highly recommend coming here for all your dental needs. Dental problems can affect many areas of a person's life so you want a dentist compassionate and honest with all your needs and concerns. The staff here is lovely making me always feel comfortable with every visit." — Camille, 5-Star Review
A Family of Dentists Ready to Treat You and Your Loved Ones
Dr. Don Czaplicki and Dr. Cathleen Czaplicki are a husband and wife team offering incredible dental care to families in and around Milwaukee, WI. Working alongside Dr. Van Kleunen, we use the latest technological developments in the field of modern dentistry. By using cone beam imaging, intraoral cameras, digital X-rays, and laser dentistry, our dentists can save you time, perform an accurate diagnosis, and administer treatment in the most comfortable manner possible.
The team of dental professionals at our Hales Corners office is committed to providing our patients with the highest quality service so that they can enjoy the benefits of good oral health for many years to come.

Comprehensive Dental Care Our Complete Services
- Braces
- Bruxism Treatment
- Dental Exams
- Crown Lengthening
- Dental Bonding
- Dental Bridges
- Dental Crowns
- Dental Fillings
- Dental Implants
- Dental Implants Cost
- Dental Sealants
- Dentures
- Family Dentistry
- Frenectomy
- Full Mouth Reconstruction
- Gingivectomy
- Gum Contouring
- Gum Disease Treatment
- Inlays and Onlays
- Invisalign®
- Oral Appliance Therapy
- Oral Cancer Screenings
- Periodontal Care
- Porcelain Veneers
- Preprosthetic Surgery
- Root Canal Therapy
- Scaling and Root Planing
- Smile Makeover
- Snap-On Smile
- Teeth in a Day
- Teeth Whitening
- TMJ Treatment
- Tooth Extraction
- Wisdom Tooth Removal
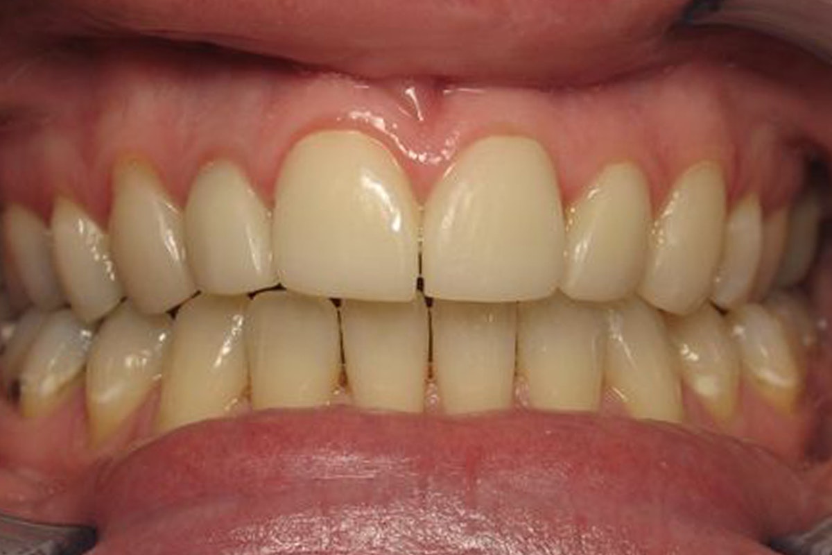
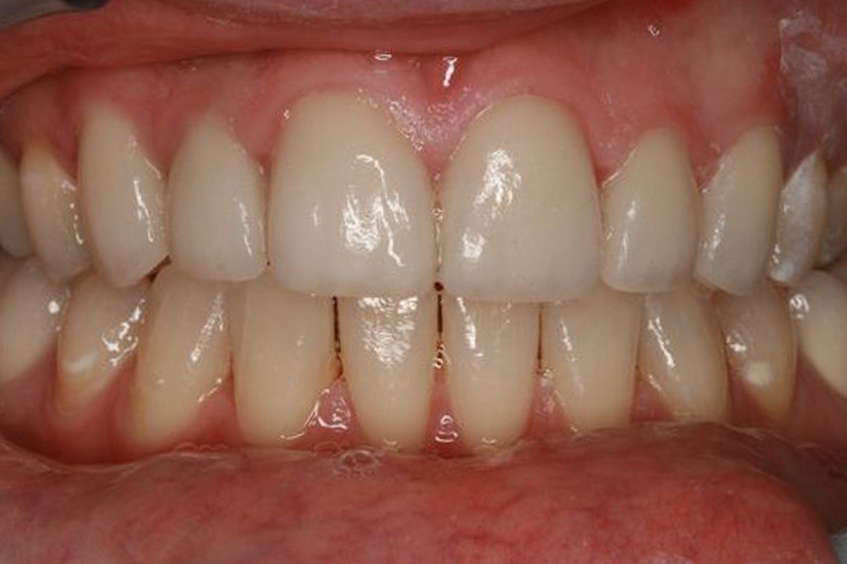
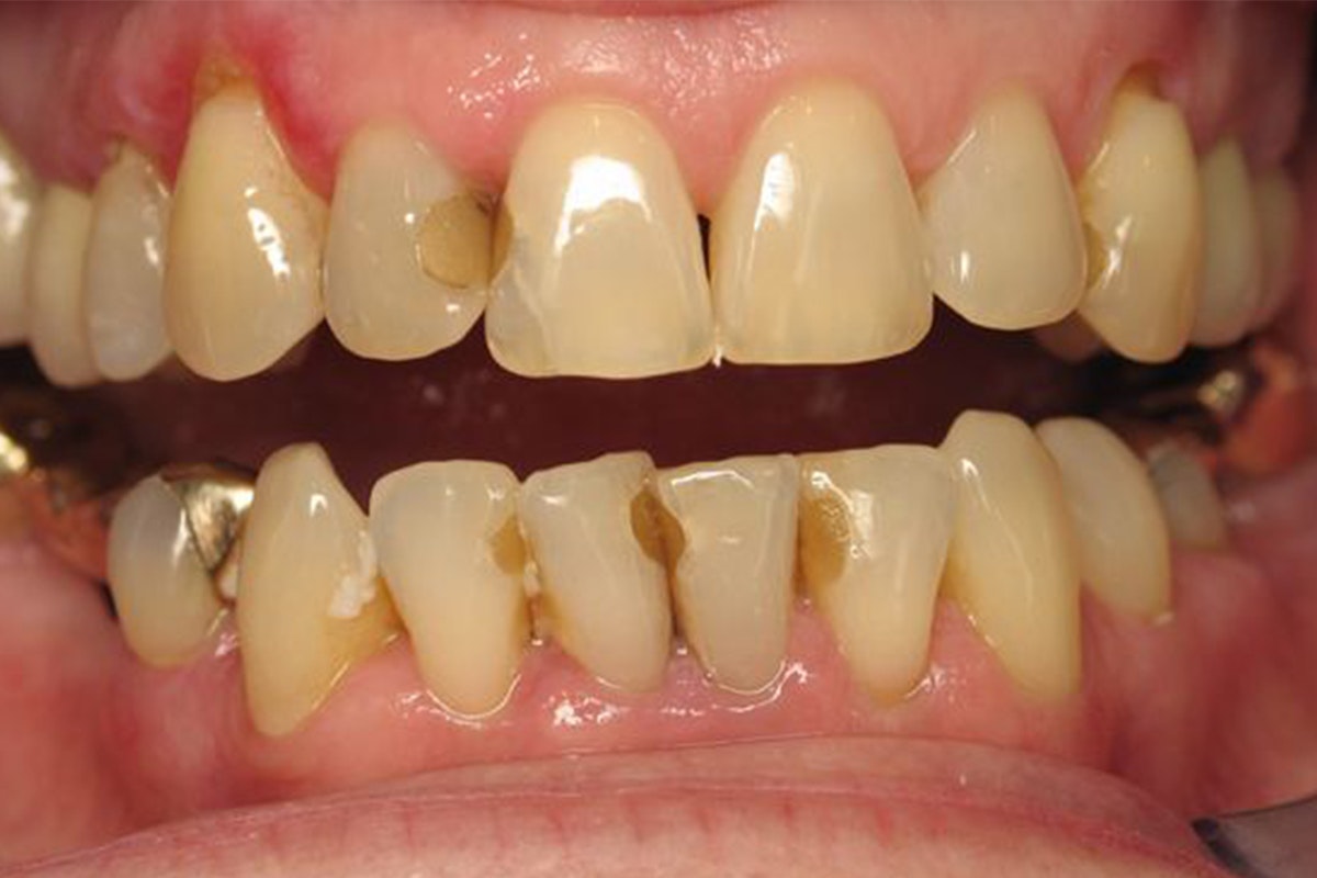
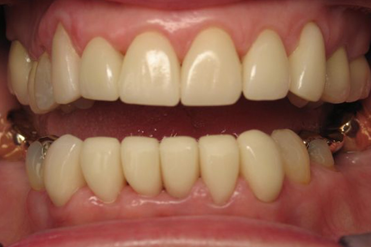
Rejuvenating Smiles Stunning Dental Crown Results
The Importance of Timely Dental Care
Saving Money
Did you know that costly dental procedures are often the result of not staying on top of regular visits to the dentist? By being proactive about preventative care, you could save money on dental care and have peace of mind knowing you're significantly reducing the likelihood of dental issues occurring.
Detecting Issues Early
Serious dental issues such as missing teeth or advanced decay often start from a seemingly harmless cavity. An untreated cavity can quickly turn into a more complex issue and require the need for a root canal, or in extreme cases, an extraction and dental implant. Regular dental appointments ensure any issues are treated early on, minimizing the need for extensive care.
Protecting Your Smile
Regular dental visits are key to maintaining a clean and healthy smile. Routine checkups allow our dentists to remove any plaque or tartar and address signs of early gum disease. Milwaukee patients leave our office with a fresh, minty smile that makes them feel more confident and in charge of their oral health.
“So glad I found my way here!”
"I can’t say enough about my positive experience with Dr Don and team at Czaplicki Family Denistry. Dr Don is an extremely capable professional who put me right at ease. His attention to detail and skill really shine through in my results and I couldn’t be happier. The energy in the office is relaxed and calming and their follow up is exempliary. So glad I found my way here!" — Joanie, 5-Star Review

















